Huferkrankungen
Abweichungen der natürlichen Hufform führen zu
Kapselrissen
Überbelastungen des Sehnen / Muskelapartes
zu Sehnen Schäden
zur Aufwölbung des Kronrandes
zum Verlust eines ausgreifenden Schrittes
zur Überlastung der Gelenke
Strahlfäule
Zwanghufen
Lahmheiten
Im weiterem wird die Aufhängung des Hufbeines in der Hufkapsel ständig gestresst welches die Anfälligkeit für eine Hufrehe erheblich steigert.
Die Kräfteverhältnisse innerhalb der Hufkapsel sowie die Belastung der Gelenkflächen bei nicht korrekter Hufform verschieben sich und es ergibt Punktuell höhere Belastungen welche zu Schädigungen im inneren des Hufes führen.
Das Absinken oder Rotieren des Hufebeines ist möglich.
Die Höhe in welcher das Hufbein innerhalb der Kapsel aufgehängt ist, verschiebt sich nach unten und dadurch wird die Sohlenhaut gequetscht und die Sohle selbst verliert an Dicke. Dies führt wiederum zur Fühligkeit und im schlimmsten Fall zu einer ständigen Reizung also einer chronischen Huflederhautentzündung.
Verlassen wir die natürlichen Winkel und damit die natürlichen Belastungsverhältnisse, produzieren wir eine Situation welche als Ausgang für die meisten Huferkrankungen gesehen werden kann.
Die gesunde, natürliche Hufform
Hier ein Bild der gesunden Hufform:

 | |  |
Ein gesunder Huf mit einer physiologischen Winkelung | | Gesunder Huf mit gearbeiteter Senke zur Entlastung der Hufkapsel beim Auffußen |
Zwanghufe:
Es gibt verschiedene Formen von Zwanghufen.
Ballenzwang
Trachtenzwang
Strahlzwang
Zehenzwang
Die häufigste Form ist der Ballenzwang und Trachtenzwang. Das Problem bei Zwanghufen ist die Veränderung der inneren Struktur des Hufes und das Fehlen des richtigen Hufmechanismus.
Beim Zwanghuf ist in der extremen Form die Kapselwand hinter der senkrechten, damit spreizt sich der Huf beim auffußen nicht, sondern wird zusammengedrückt. Hierbei werden die natürlichen Funktionen des Hufes ins krankhafte umgekehrt.
Beim Zwang wird die Sohle, der Strahl und die Eckstreben zusammengedrückt und nach innen gepresst. Dies führt im inneren des Hufes zu Druck Situationen. Der Stahl erhält nicht mehr ausreichende Bewegung so das er anfällig für Strahlfäule wird. Das Reinigen des Hufes in der Strahlfurche ist auch nicht mehr richtig möglich.
Bei der Bearbeitung von Zwanghufen ist darauf zu achten, dass die Tragränder so gestaltet werden, dass sie beim auffußen den Huf spreizen. Es ist sehr wichtig, dass kurze Intervalle für die Hufbearbeitung gewählt werden und das das Pferd viel Bewegung auf hartem Boden erhält. Es kann sein, das eine Weitung der Hufkapsel und damit eine Entlastung in den inneren Strukturen des Hufes erst nach einer längeren Behandlungszeit eintreten.

Untergeschobene Trachten:
Bei der Veränderung der Hufform hin zu untergeschobenen Trachten, verändern sich ganz stark die Kräfteverhältnisse in der Hufkapsel. Dies führt zu Spannungen welche dann zu Kapselrissen führen.
Die Röhrchen aus welchen die Kapsel aufgebaut ist werden nicht mehr entsprechend ihrer Belastungsausrichtung belastet und verlieren so ihre elastische und dämpfende Eigenschaft. Hierdurch werden die Kräfte des auffußens direkt an den Kronrand weitergeleitet und verursachen dort Blutergüssen und Quetschungen.
Hufe mit untergeschobenen Trachten machen oft den Anschein, als seien sie im Trachtenbereich sehr flach und als hätten sie eine sehr lange Zehe. Das Korrigieren des Trachtentragepunktes und der Kapselform ist sehr wichtig, da die Auswirkungen nicht unerheblich sind.
 | |  | |  |
Untergeschobene Trachten beim Beschlag | | Untergeschobene Trachten Vorderhuf | | Untergeschobene Trachten Hinterhuf |
Hufrehe:
Es gibt unterschiedliche Auslöser für eine Hufrehe.
Zum Beispiel Glycose, Fructane, Eiweiße, Überlastungsrehe, Vergiftungsrehe, EMS, Cushing. Unabhängig des Auslösers, ist das Geschehen im Huf gleich. Die Kapselform verändert sich, das Hufbein rotiert und oder senkt sich in der Hufkapsel ab. Im schlimmsten Fall kann es zu einem Hufbein Durchbruch kommen.
Eine Hufrehe sollte neben der Arbeit eines Hufpflegers, immer durch einen Tierarzt oder Tierheilpraktiker behandelt werden.
Bei der Behandlung der Hufrehe ist besonders darauf zu achten, dass die natürliche Hufform wieder hergestellt wird. Dies ist notwendig, damit das Hufbein wieder eine feste Aufhängung in der Kapsel gewinnt und sich so die inneren Strukturen regenerieren können. Die Bearbeitung muss mit äußerster Detailgenauigkeit und in kurzen Abständen durchgeführt werden. Neben der Hufbearbeitung und der Behandlung der Stoffwechselstörung ist viel Bewegung äußerst wichtig.
Bewegung bringt Blutumtrieb, dieser ist wichtig damit das Blut gereinigt wird und so die Heilung schnell voran gehen kann. Der Aderlass zum Beispiel, ist bei Hufrehe immer noch eine mögliche Behandlung.
 | |  | |  |
Bild eines typischen Rehehufes, Vorne links | | Bild eines typischen Rehehufes, Vorne rechts | | Sohlenansicht vorne rechts mit einer langen Zehe und sehr langen Eckstreben welche bereits umgedrückt sind |
 | |  | |  |
Der Rehehuf nach der érsten Bearbeitung | | Rechter Vorderhuf nach der ersten Bearbeitung | | Beschreibungstext |
 |
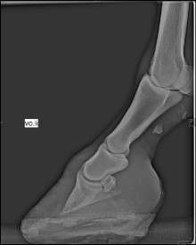
Röntgenbild eines rotierten Hufbeines |
Huflederhautentzündung:
Bei der Huflederhautentzündung ist es besonders wichtig die wahre Ursache zu finden um diese zu behandeln und somit den Grund der Entzündung auszuschalten. Eine ausschließliche Schmerz- und Entzündungstherapie ist nur eine symptomatische Behandlung.
Die Ursache ist oft eine falsche Hufform.
Ein Huf mit zu hohen Trachten bringt eine zu hohe Belastung auf die Hufbeinspitze welche dann die sie umgebende Huflederhaut quetscht und zur Huflederhautentzündung führt.
Kapselriss:
Wann reißt etwas? Wenn es morsch ist und die Belastung zu hoch. Genau das ist die Ursache für Kapselrisse im Huf.
Morsch = Die Hufkapsel trocknet aus und verliert ihre Elastizität.
Im natürlichen Umfeld der Pferde werden die Hufe mindestens 2x täglich gewässert. Wenn die Pferde trinken, stehen sie mit ihren Hufen im Wasser oder zumindest im Uferschlamm. Das Wasser wird von der Kapsel aufgenommen und im Saumbandhorn zusätzlich gespeichert. Von dort wird es je nach Bedarf an die Kapsel abgegeben.
So werden in der Natur die Hufe elastische gehalten.
Zu hohe Belastung = Die spitze Kegelform der Hufkapsel und die schräg nach vorne wachsenden Röhrchen der Kapselwand sind ideal ausgerichtet um die Aufprallbelastungen zu resorbieren und zu verarbeiten. Hinzu kommt die natürliche Senke in den Hufseitenwänden, welche die von oben auftretende Energie beim Auffußen ideal weiter leitet. Man kann bei zu langen Hufen beobachten, dass diese immer an den am meisten belasteten Seitenwänden ausbrechen.
Bei der Behandlung von Kapselrissen, ist die richtige Hufform und das aufrecht erhalten der Elastizität, der Schlüssel zur Ursachenbeseitigung. Das Beste ist es, die Hufe regelmäßig zu wässern.
Fett hilft nicht, da es das Eindringen von Feuchtigkeit in die Kapsel verhindert.
Hufrollenentzündung:
In der allgemeinen Lehrmeinung wird die Hufrollenentzündung als Reizung verursacht durch die tiefe Beugesehne dargestellt. Wenn man sich den anatomischen Aufbau des Hufes genauer anschaut, dann stellt man fest, dass unterhalb der Hufrolle und damit unterhalb des Strahlbeins, die Eckstreben liegen.
Beim Auffußen wird das Strahlbein nach unten gedrückt und die Hufsohle, der Strahl und die Eckstreben sinken ab. Dies ist aber nur möglich wenn die Eckstreben nicht zu lang sind. Sind diese aber zu lang dann können sie nicht absinken und stoßen im inneren gegen das Strahlbein. Hierdurch entsteht natürlich eine Reizung der Hufrolle.
Die herkömmliche Behandlung mit Beschlag, welcher besonders im Trachtenbereich noch erhöht ist, funktioniert, aber nur für kurze Zeit. Es schafft erst einmal Platz für die Eckstreben nach unten abzusinken. Wenn diese aber nicht nachgeschnitten werden, wachsen sie immer weiter und zu einem späteren Zeitpunkt entsteht wieder die gleiche Situation.
Daher ist die Hufrollenentzündung auch so gefürchtet, da es keine offensichtliche Heilung gibt. Diese ist aber möglich wenn man entsprechend die Eckstreben ausarbeitet und so eine Entspannung im inneren des Hufes schafft.
 |
Aus: Dr. Hiltrud Strasser, Hufe ganzheitlich Behandlen, Sonntag Verlag 2004 |
Spat:
Beim Spat liegt eine Entzündung im Sprunggelenk vor. Die Ursachen können auch hier wieder mehrere Gründe haben.
falsche Hufform
Futtermängel
Schlag / Tritt
Trainingsüberlastung
Knochenerkrankung
Bei der Behandlung von Spat ist die korrekte Hufform wieder ausschlaggebend. Auch wenn der Huf nicht ursächlich beteiligt sein sollte, so ist er doch ein Schlüssel zur Behandlung und zur Unterstützung bei der Genesung. Meist ist aber eine falsche Hufform oder ein Beschlag bei betroffenen Pferden vorzufinden.
Bei allen Krankheiten oder Huferkrankungen, ist immer die
zu berücksichtigen.
Man muss all diese Punkte berücksichtigen da sie großen Einfluss auf die Gesundheit oder die Rehabilitation des Pferdes / Esels haben.
Sollten Sie noch weitere Informationen zu einzelnen Huferkranken benötigen oder ganz spezielle Fragen haben, so sprechen Sie mich einfach an.